
图 1 : MET结构示意图

图 2: HGF/c-MET信号通路示意图

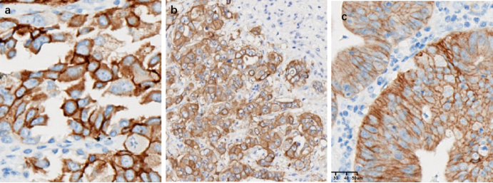
图 3 : c-MET在不同肿瘤组织中的表达
表 1: c-MET 靶向药物信息




迈杰转化医学研究(苏州)有限公司已成功开发一款 c-MET检测试剂盒,该试剂盒已证实可用于 FFPE 组织样本的 IHC 染色,在非小细胞肺癌、结直肠癌、胃癌等组织上有良好的染色性能。迈杰 c-MET 检测试剂盒(免疫组织化学法)已完成试剂盒原型的开发。该产品既可满足临床样本检测需要,也可作为 c-MET 靶向药物的伴随诊断试剂产品原型。

图 4 :迈杰 c-MET检测试剂盒在 c-MET 不同表达程度非小细胞肺癌组织上的染色
c-MET 14
号外显子跳读突变
基于 q-PCR平台,我们自主研发出一种可从 RNA 水平特异性检测 c-MET 外显子 14 跳读突变的检测试剂盒 ,已完成 IUO的开发和注册检验。此试剂盒 操作简便,快速精准,可以更直观的满足临床快速检测的实际需求,用于指导 Crizotinib等 c-MET 靶向药物的使用。

图 5: c-MET 14外显子跳读检测试剂盒检测结果展示
目前检测基因扩增的主要方法是荧光原位杂交(
FISH),但
FISH
检测操作复杂,流程比较长,判读主观。且在肿瘤晚期,复发及转移的患者中,不易获得肿瘤组织,可以通过液体活检,检测血液中的
ctDNA
,无创,可随时监测,在监测耐药发生、疗效评估、复发和判断预后等方面发挥更重要的作用。
目前液体活检常用方法有
NGS、q
-PCR
、数字
PCR
等。但
NGS
需要高成本,且检测周期长;
q-PCR
需要依赖标准品;而数字
PCR
是一种对核酸分子进行绝对定量的方法,不需要标准曲线即可量化基因拷贝数,检测灵敏度高,能有效克服液体活检中常见的
ctDNA
含量低、降解严重等问题。
迈杰转化医学已成功基于数字 PCR开发了一款 MET 基因扩增检测试剂盒,该试剂盒可用于 FFPE 组织提取的 DNA 和血浆 cfDNA 中 c-MET 基因扩增的检测。本试剂盒已完成试剂盒原型的开发,灵敏度高,特异性好,适用于 cfDNA ,适用范围广,操作简单,快速。该产品既可满足药物开发过程的探索性研究的检测需要,也可作为相应靶向药物的伴随诊断试剂产品原型。

图 6: c-MET 基因扩增检测试剂盒检测结果展示
参考文献
[1] Huang X, Li E, Shen H, et al. Targeting the HGF/MET Axis in Cancer Therapy: Challenges in Resistance and Opportunities for Improvement[J]. Frontiers in Cell and Developmental Biology, 2020, 8.