欢迎来到迈杰转化医学官网!

迈杰转化医学

迈杰转化医学

服务热线400-007-1121服务热线

迈杰转化医学推动中国精准医疗健康发展

杰论系列 | FGFR2b:胃癌靶向治疗新希望

返回列表 来源: 发布日期: 2024.04.17

一、FGFR2b的结构和功能



纤维母细胞生长因子受体2b Fibroblast Growth Factor Receptor 2b ),是受体酪氨酸激酶家族的一员 FGFR2的同源异构体。 FGFR2b 和整个FGFR 家族的受体一样在细胞膜上表达。整个受体由三个主要元素构成: 1.外细胞域( Extracellula r Domain): 包含三个免疫球蛋白样亚单位( D1 D2 D3 ),用于与纤维 母细胞生长因子(FGF )配体结合。 2. 跨膜螺旋( Transmembrane Helix 单一的跨膜结构,将外细胞域连接到细胞内。 3. 细胞内酪氨酸激酶结构域( Intracellular Tyrosine Kinase Domain 在信号传导中起关键作用,激活后可以磷酸化酪氨酸残基,触发下游信号通路。 与配体FGF结合后, FGFRs二聚体形成导致结构的构象变化,激活细胞内激酶结构域,导致细胞内结构域的磷酸化。通过招募 FRS2 SOS GRB2 信号分子, RAS MAPK 途径下游被激活。PI3K-mTOR-AKT STAT3 信号通路也被FGFR 激活。
resource/images/6cfab205260d49c48034f19f1fc12c42_2.jpg
图1 FGFR2家族结构示意图

二、FGFR2b信号通路

FGFR2b是一种重要的信号传导受 体,涉及多个细胞过程,包括细胞增殖、分化、迁移和存活。FGFR2b信号通路的详细介绍如下:

1) FGFR2b激活机制:

Ligand Binding:FGFR2b的活化通常是由FGF(成纤维细胞生长因子)家族的成员诱导的。这类成员包括FGF1、FGF2、FGF7和FGF10等。这些成分通过结合到FGFR2b的细胞外结构域,引发受体的二聚化和自磷酸化,从而启动信号传导。

Receptor Dimerization:  配体结合导致FGFR2b 的二聚化,即两个受体结合在一起形成二聚体。这一过程是信号传导的关键步骤,为后续的下游信号传导做好准备。

resource/images/6cfab205260d49c48034f19f1fc12c42_4.jpg
图2:FGFR2b的激活以及下游信息通路
2)FGFR2b下游信号通路
尽管56%的FGFR2b蛋白过表达的肿瘤呈现出异质性表达模式,但具有更高表达水平的肿瘤表现出对关键下游级联的更强烈的激活。FGFR底物2(FRS2)作为一个适配蛋白结合到活化的FGFR的胞内部分的近膜区域,从而招募SOS (Son of Sevenless)和生长因子受体结合蛋白2(GRB2)来激活RAS依赖的MAPK途径 。PI3K-AKT途径通过招募GRB2相关结合蛋白1(GAB1)而被激活。
作为FGFR的FRS2独立底物,PLC-γ结合到FGFR羧基端尾部的一个磷酸酪氨酸残基,通过PKC激活MAPK途径。因此,FGFR2-PKC-GSK3β-β-连环蛋白轴可能促进GC的肿瘤进展。在弥漫型GC细胞中,FGFR2 mRNA水平与Twist相关蛋白1(Twist1)显著相关,后者是促进上皮-间充质转化(EMT)的重要转录因子。 
此外,Janus激酶-信号转导子和转录激活子(JAK–STAT),以及c-Jun N-末端激酶(JNK)途径以一种依赖于背景的方式被FGFR信号激活,这有助于肿瘤进展的转录调控。FGF-FGFR信号级联还与Hedgehog、Notch以及Wnt/β-连环蛋白途径进行交叉对话。以上这些细胞信息通路的活化会导致细胞核内DNA的转录,促使细胞进行增殖、迁移和分化。同时,这也会抑制程序性细胞凋亡并且增强细胞的抗药性和血管增生。

三、FGFR2b在恶性肿瘤中的作用

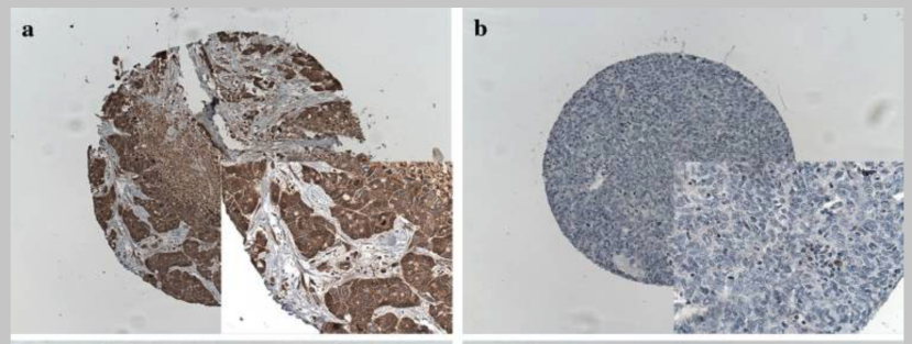
在正常组织中, FGFR2b的表达支持多种生理过程,包括胚胎发育和组织修复。然而,在各种癌症中都可发现 FGFR2b 表达的失调。FGFR2b 的扩增、突变或过表达已在乳腺癌、胃癌和肺癌等多种恶性肿瘤中得到确认 FGFR2b 表达的改变通常与肿瘤的增殖增强和不良预后相关。

resource/images/6cfab205260d49c48034f19f1fc12c42_6.jpg

图3:FGFR2b在胃癌中表达

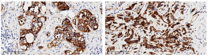
如在乳腺癌中,64 BRCA2 关的肿瘤中有19 个( 30%)对 FGFR2 呈阳性染色,而50 BRCA1相关的肿瘤中有 3 个(6% )对 FGFR2呈阳性染色( P = 0.004 )。因此可以得出结论, FGFR2b 的表达更容易在BRCA2 相关的乳腺癌中上调。

resource/images/6cfab205260d49c48034f19f1fc12c42_8.jpg
图4 :FGFR2b在乳腺癌中表达
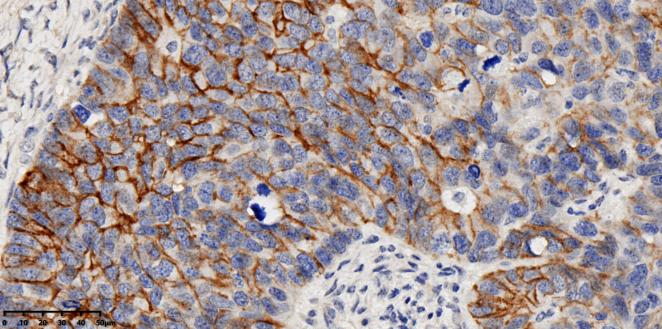
resource/images/6cfab205260d49c48034f19f1fc12c42_10.jpg

图5:FGFR2b在胆管癌中表达



四、FGFR2b相关靶向药物

Five Prime Therapeutics开发的   Bemarituzumab(原名 FPA144 )是一种经过重组的、不进行岩藻糖基化的、人源化的IgG1 kappa 单克隆抗体。 其具有结合FGFR2b 外细胞域的能力,可以抑制 FGFR2b的激活,并在表达 FGFR2b 的肿瘤细胞上展现出增强的抗体依赖性细胞毒性。该药物经过特殊设计,不进行岩藻糖基化 ,从而激活 FcγRIIIa CD16a ),在临床前研究中表现出对天然杀伤细胞(NK   Cell )具有增强的抗体依赖性细胞介导毒杀作用。 在一项I 期单药研究中, Bemarituzumab使 28 例化疗耐药型胃腺癌患者中的5 例( 18%)出现了客观反映,这些患者均存在 FGFR2 扩增和高度过表达FGFR2b
在临床研究FIGHT的主要分析中(数据截止[DCO] 2020年9月),相比安慰剂,Bemarituzumab联合mFOLFOX6显著改善了患者的无进展生存(PFS)[中位PFS 9.5个月 vs 7.4个月,HR:0.68(95%CI:0.44-1.04)]。在更新的分析中(DCO 2021年2月),中位总生存期(OS)分别为19.2个月 vs 13.5个月(HR:0.60,95% CI:0.38-0.94)。目前,Bemarituzumab联合化疗方案mFOLFOX6正在进一步研究中,针对FGFR2b过表达、先前未治疗的晚期胃或胃-食管交界处腺癌,该研究包括FORTITUDE-101 III期临床试验(NCT05052801)和mFOLFOX6与nivolumab III期FORTITUDE-102试验(NCT05111626)。

resource/images/6cfab205260d49c48034f19f1fc12c42_12.jpg

图6:FGFR2b靶向药物的作用位置

FGFR2靶向药物根据作用机制可分为四类:(1)小分子酪氨酸激酶抑制剂(TKIs),包括非选择性和选择性的FGFR抑制剂;(2)对抗性单克隆抗体,竞争性结合到FGFR细胞外区域,阻止FGFs–FGFR信号的激活;(3)FGF配体陷阱,阻止多种FGF配体的活性和配体-受体相互作用;以及(4)抗体-药物结合物(ADCs),由FGFR抗体与细胞毒性荷载组成。部分药物信息及研发进展见表1。

resource/images/6cfab205260d49c48034f19f1fc12c42_14.jpg

表1:FGFR2b靶向药物信息


五、靶向FGFR2b 的临床意义

FGFR2b的过表达已在包括乳腺、子宫内膜、宫颈、肺、食管、胃、胰腺和结直肠癌 CRC )的多种癌症中报道,但 FGFR-2 IIIb 变体在不同癌症类型之间的作用存在争议。 在食管癌患者中,41% 的患者的食管癌细胞中表达了 FGFR-2 IIIb,并且 FGFR-2 IIIb 的表达与食管癌的良性细胞类型相关。使用 免疫组织化学( IHC)检测,发现 73 例(1,974 例中的 4%)胃癌患者中 FGFR2-IIIb 蛋白过表达,并且所有具有FGFR2-IIIb 过表达的肿瘤均通过荧光原位杂交检测到 FGFR2扩增。 并且, FGFR2b在胃癌中的表达尤为显著,在一项研究中,一种新型的 FGFR2b 初级抗体通过免疫组织化学来预测基因扩增,并发现4% 的胃癌中存在 FGFR2b过表达,其中 92% 的病例通过FISH 确认为 FGFR2基因扩增,证实这是 FGFR2 扩增的胃癌中主要表达的是FGFR2b 亚型,而不是 FGFR2c亚型。 值得关注的是,随着 FGFR2b 表达水平的增加,观察到更大的生存获益,说明FGFR2b 靶点或可作为临床中肿瘤疗效预测的指标。


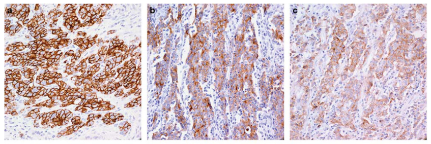
六、迈杰医学FGFR2b抗体试剂(免疫组织化学法)研发进展

目前,迈杰转化医学研究(苏州)有限公司 已成功开发一株FGFR2b 特异性单克隆抗体,该抗体已证实可用于 FFPE 织样本 IHC 染色,在胃癌和卵巢癌等组织上有良好的染色性能。 迈杰医学FGFR2b 抗体试剂( 疫组织化学法) 已完成技术可行性研究。 该产品既可满足临床样本检测需要,也可作为FGFR2b 靶向药物的伴随诊断试剂产品原型。

resource/images/6cfab205260d49c48034f19f1fc12c42_16.jpg

图7 :迈杰医学FGFR2b抗体在阳性胃癌组织上的染色

resource/images/6cfab205260d49c48034f19f1fc12c42_18.jpg

图8:迈杰医学FGFR2b抗体在阳性卵巢癌组织上的染色


参考文献

[1] Ahn, S., Lee, J., Hong, M., Kim, S. T., Park, S. H., Choi, M. G., Lee, J.-H., Sohn, T. S., Bae, J. M., Kim, S., Jung, S.-H., Kang, W. K., & Kim, K.-M. (2016). FGFR2 in gastric cancer: protein overexpression predicts gene amplification and high H-index predicts poor survival. Modern Pathology, 29(9), 1095–1103.

[2] Ahn, S., Lee, J., Hong, M., Kim, S. T., Park, S. H., Choi, M. G., Lee, J.-H., Sohn, T. S., Bae, J. M., Kim, S., Jung, S.-H., Kang, W. K., & Kim, K.-M. (2016). FGFR2 in gastric cancer: protein overexpression predicts gene amplification and high H-index predicts poor survival. Modern Pathology, 29(9), 1095–1103.

[3] Bane, A. L., Pinnaduwage, D., Colby, S., Bull, S. B., O’Malley, F. P., & Andrulis, I. L. (2008). Expression profiling of familial breast cancers demonstrates higher expression of FGFR2 in BRCA2-associated tumors. Breast Cancer Research and Treatment, 117(1), 183–191.

[4] Blackwell, C., Sherk, C., Fricko, M., Ganji, G., Barnette, M., Hoang, B., Tunstead, J., Skedzielewski, T., Alsaid, H., Jucker, B. M., Minthorn, E., Kumar, R., & DeYoung, M. P. (2016). Inhibition of FGF/FGFR autocrine signaling in mesothelioma with the FGF ligand trap, FP-1039/GSK3052230. Oncotarget, 7(26), 39861–39871.

[5] Choi, C. H., Chung, J.-Y., Kim, J.-H., Kim, B.-G., & Hewitt, S. M. (2016). Expression of fibroblast growth factor receptor family members is associated with prognosis in early stage cervical cancer patients. Journal of Translational Medicine, 14(1).

[6] Daniel V.T. Catenacci, Tesfaye, A., Tejani, M., Cheung, E., Eisenberg, P. D., Scott, A. J., Eng, C., Hnatyszyn, J., Marina, N., Powers, J., & Wainberg, Z. A. (2019). Bemarituzumab with modified FOLFOX6 for advanced FGFR2-positive gastroesophageal cancer: FIGHT Phase III study design. Future Oncology, 15(18), 2073–2082.

[7] Gordon, A., Johnston, E., Lau, D. K., & Starling, N. (2022). Targeting FGFR2 Positive Gastroesophageal Cancer: Current and Clinical Developments. OncoTargets and Therapy, 15, 1183–1196.

[8] Grünewald, S., Politz, O., Bender, S., Héroult, M., Lustig, K., Thuss, U., Kneip, C., Kopitz, C., Zopf, D., Collin, M., Boemer, U., Ince, S., Ellinghaus, P., Mumberg, D., Hess‐Stumpp, H., & Ziegelbauer, K. (2019). Rogaratinib: A potent and selective pan‐FGFR inhibitor with broad antitumor activity in FGFR‐overexpressing preclinical cancer models. International Journal of Cancer, 145(5), 1346–1357.

[9] Hu, M., & Zhang, S. (2022). Expression and clinical significance of FGFR1 and FGFR2 in laryngeal squamous cell carcinoma. Translational Cancer Research, 11(9), 3222–3234.

[10] Ishiwata, T. (2018). Role of fibroblast growth factor receptor-2 splicing in normal and cancer cells. Frontiers in Bioscience, 23(2), 626–639.

[11] Javle, M., Roychowdhury, S., Kelley, R. K., Sadeghi, S., Macarulla, T., Weiss, K. H., Waldschmidt, D.-T., Goyal, L., Borbath, I., El-Khoueiry, A., Borad, M. J., Yong, W. P., Philip, P. A., Bitzer, M., Tanasanvimon, S., Li, A., Pande, A., Soifer, H. S., Shepherd, S. P., & Moran, S. (2021).Infigratinib (BGJ398) in previously treated patients with advanced or metastatic cholangiocarcinoma with FGFR2 fusions or rearrangements: mature results from a multicentre, open-label, single-arm, phase 2 study. The Lancet Gastroenterology & Hepatology, 6(10), 803–815.

[12] Masakazu Yashiro, Kuroda, K., Masuda, G., Okuno, T., Miki, Y., Yamamoto, Y., Sera, T., Sugimoto, A., Komatsu, S., Nishimura, S., Shingo Togano, & Ohira, M. (2021). Clinical difference between fibroblast growth factor receptor 2 subclass, type IIIb and type IIIc, in gastric cancer. Scientific Reports, 11(1).

[13] Ooki, A., & Yamaguchi, K. (2021). The beginning of the era of precision medicine for gastric cancer with fibroblast growth factor receptor 2 aberration. Gastric Cancer, 24(6), 1169–1183.

[14] Tolcher, A. W., Papadopoulos, K. P., Patnaik, A., Wilson, K., Thayer, S., Zanghi, J., Gemo, A. T., Kavanaugh, W. M., Keer, H. N., & LoRusso, P. M. (2016). A phase I, first in human study of FP-1039 (GSK3052230), a novel FGF ligand trap, in patients with advanced solid tumors. Annals of Oncology, 27(3), 526–532.

[15] Wainberg, Z. A., Enzinger, P. C., Kang, Y.-K., Qin, S., Yamaguchi, K., Kim, I.-H., Saeed, A., Oh, S. C., Li, J., Turk, H. M., Teixeira, A., Borg, C., Hitre, E., Udrea, A. A., Cardellino, G. G., Sanchez, R. G., Collins, H., Mitra, S., Yang, Y., & Catenacci, D. V. T. (2022). Bemarituzumab in patients with FGFR2b-selected gastric or gastro-oesophageal junction adenocarcinoma (FIGHT): a randomised, double-blind, placebo-controlled, phase 2 study. The Lancet Oncology, 23(11), 1430–1440. 

咨询热线

400-007-1121