
图1: CDH6 的分子结构

图2: CDH6的信号通路示意图

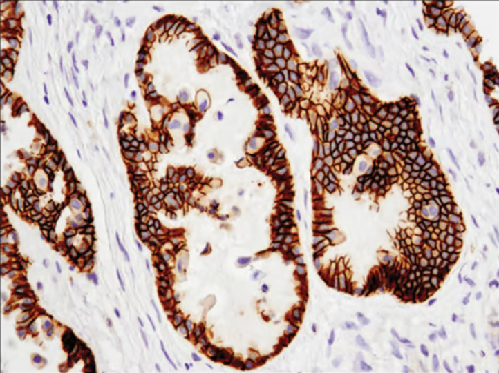
图3:CDH6在 卵巢癌 中 的 表达

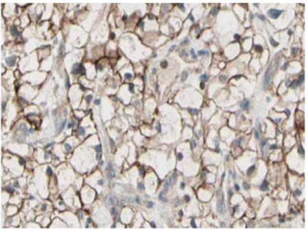
图4 :CDH6在 肾细胞癌 中 的 表达

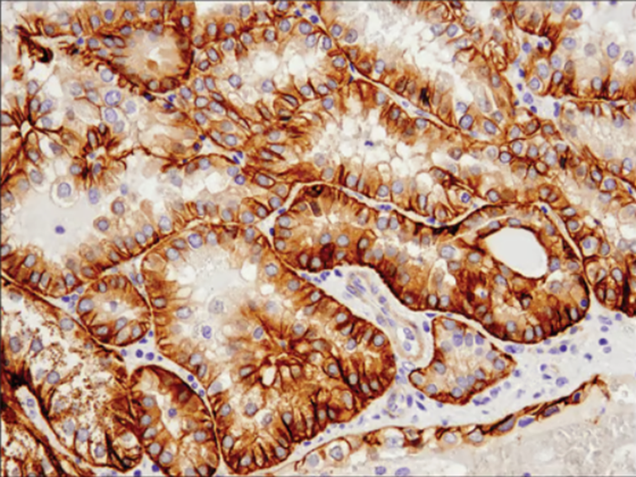
图5 :CDH6在乳头状甲状腺癌的表达
1
)创新DNA
拓扑异构酶I
抑制剂(DXd
)具有独特的作用机制,与常见化疗药物伊立替康相比,活性提高10
倍。
2
)具有很强渗透细胞膜的能力,让它们在杀伤吞入ADC
的癌细胞之后,能够杀死附近的癌细胞,产生旁观者效应。
3
)DXd
在血液中的半衰期显著缩短,有助于减少毒副作用的产生。
4
)连接子有着非常高的稳定性,让非肿瘤组织不会受到毒性药物的影响。
5
)它能够特异性被肿瘤中高度表达的溶酶体蛋白酶切割。
6 )并且可以在一个抗体分子上偶联多个细胞毒性药物,提高药物抗体比例(DAR )。

图6 : DS-6000 的分子结构
临床前研究表明,当DS-6000与癌细胞表面的CDH6结合时,DS-6000被内吞。然后,溶酶体酶分解连接体,释放细胞毒性有效载荷,有效摧毁癌细胞。此外,DS-6000对表达CDH6的肾细胞癌和卵巢癌细胞表现出肿瘤生长抑制和肿瘤消退。

图 7 : DS-6000 PhaseⅠ 卵巢癌亚组患者结果

普众发现AMT-707
普众发现与昂阔医药就AMT-707(CUSP06)的开发和商业化达成许可协议。AMT-707是一款潜在高度差异化、Second-in-Class,靶向CDH6的抗体药物偶联物(ADC)。
先声药业SIM0505
先声药业宣布,于2025 年1 月2 日,集团自主研发的抗肿瘤候选药物CDH6 抗体偶联药物(ADC)SIM0505 已获得中国国家药品监督管理局签发的药物临床试验批准通知书,拟开展晚期实体瘤的临床试验。于2024 年12 月28 日,SIM0505 新药临床试验申请(IND) 已获美国食品药品监督管理局(FDA) 批准。
SIM0505 是先声药业研发的一款靶向CDH6 的ADC 分子,将特异结合肿瘤细胞的CDH6 单克隆抗体通过连接子与具有自主知识产权的喜树硷衍生物类毒素相连。SIM0505 结合了抗体分子的肿瘤特异靶向性和毒素分子的高杀伤性优势,与传统的化疗药物相比,不仅能精准地靶向肿瘤细胞,还能降低毒副作用。该款ADC 拟开发用于治疗卵巢癌、肾癌等恶性肿瘤。
作为一种细胞紧密连接蛋白,CDH6
在人发育期表达于肾、子宫内膜、胎盘及CNS
,参与胚胎肾的形态发生、发育与细胞间粘附,同时在上皮
-
间充质转化(EMT
)过程中也发挥作用;成年后,于机体正常组织中表达受限,但在多癌种中高表达,尤其是在
OVC
和
RCC
中,并且和不良预后有关[20] 。CDH6
在众多恶性肿瘤中高表达,与CDH6
蛋白表达水平低或不存在的病例相比,CDH6
蛋白的过量表达预后更差。CDH6
最早被发现于肾癌,此外,在卵巢癌、甲状腺癌、胆管癌、肝细胞癌和小细胞肺癌中也观察到CDH6
表达[21]。因其在正常成人组织中低表达,在肿瘤组织中高表达的特性,CDH6
已然成为一重要靶点。目前全球范围内布局CDH6
靶点的企业稀少,但已有候选产品表现出相当的潜力。
目前,迈杰转化医学研究(苏州)有限公司的CDH6特异性单克隆抗体,已证实可用于FFPE组织样本的IHC染色,在卵巢癌等组织上有良好的染色性能。迈杰医学的CDH6抗体试剂(免疫组织化学法)已在Leica全自动染色平台上完成技术可行性研究。我司已建立CDH6的方法 学,并依托中心实验室,积极参与并支持国内申办方的早期临床试验泛癌种样本的检测 。与此同时,迈杰医学正稳步推进CDH6伴随诊断试剂盒的研发布局 ,致力于为精准医疗领域提供高质量的诊断解决方案。

参考文献
[1] Gugnoni, M. (2016). Cadherin 6 regulates Epithelial Mesenchymal Transition by restraining autophagy and controlling metabolism in metastatic thyroid cancer. doi:https://doi.org/10.6092/unibo/amsdottorato/8275.