欢迎来到迈杰转化医学官网!

迈杰转化医学

迈杰转化医学

服务热线400-007-1121服务热线

迈杰转化医学推动中国精准医疗健康发展

杰论 | 维立志博LBL-007联合PD-1临床研究结果重磅发布

返回列表 来源: 发布日期: 2025.02.28


resource/images/6b71b9e56cc74221a6091bf1de1202a2_12.jpg

1 Journal of Hematology & Oncology》期刊发表网页截图


近日,由维立志博自主研发的LBL-007 联合PD-1 单抗治疗晚期实体瘤的临床研究结果,在国际权威期刊《 Journal of Hematology & Oncology 》( IF 23.168 )上重磅发表。这项研究成果为肿瘤免疫治疗领域带来了新的希望,也标志着我国在创新药物研发领域取得了又一重要突破。


一、

临床研究结果喜人,联合治疗展现巨大潜力 

LBL-007 联合治疗在晚期肿瘤患者中表现出良好的耐受性,且在未接受过免疫治疗的鼻咽癌(NPC )患者中显示出较高的抗肿瘤活性。 LAG-3表达水平与疗效相关,提示其可能作为疗效预测标志物。

  • 研究概述

本研究于2021 11 30 日至 2023 12 1 日期间开展,共纳入 80 例晚期肿瘤患者,其中 NPC 患者 30 例( 37.5% ),其他肿瘤患者 50 例( 62.5% )。中位随访时间为 26.0 个月。
  • 剂量探索与确定

Ib 期剂量探索中,4 例患者接受 200 mg LBL-007 治疗, 6 例患者接受 400 mg LBL-007 治疗,未观察到剂量限制性毒性。因此, 400 mg 剂量被确定为 II 期推荐剂量( RP2D ),并在 II 期试验中用于 70 例患者。

  • 安全性

80例患者中, 9例( 11.3% )发生 3 级或 4 级治疗相关不良事件,主要包括贫血( 2.5%)、低钠 血症( 2.5% )、丙氨酸氨基转移酶升高( 2.5% )、天冬氨酸氨基转移酶升高( 1.3% )和疲劳( 1.3% )。 8 例患者( 10.0% )发生治疗相关的严重不良事件,未报告与治疗相关的死亡事件。
  • 疗效

  • 对于未接受过免疫治疗的 NPC患者( n=12 ):客观缓解率(ORR )为 33.3% ,疾病控制率( DCR )为 75% ,中位无进展生存期( PFS )为 10.8 个月( 95% CI 1.3 至未估计)。

  • 对于接受过免疫治疗的 NPC患者( n=17 ):ORR 11.8% DCR 64.7% ,中位 PFS 2.7 个月( 95% CI 1.4 4.9 )。

  • 对于其他肿瘤患者:未接受过免疫治疗的患者 ORR 15.8% ,接受过免疫治疗的患者 ORR 3.7%

resource/images/6b71b9e56cc74221a6091bf1de1202a2_14.jpg

肿瘤反应评估:瀑布图展示了肿瘤大小的最大变化情况

resource/images/6b71b9e56cc74221a6091bf1de1202a2_16.jpg

3  K-M生存曲线图:根据既往免疫治疗情况分层的 NPC患者PFS( 左图 ) 和根据鼻咽癌与其他肿瘤类型分层的患者 PFS( 右图)


  •  LAG-3表达水平与临床疗效具有相关性 :LAG-3表达≥2+的患者ORR为28.0%,而LAG-3表达<2+的患者ORR为7.7%。

resource/images/6b71b9e56cc74221a6091bf1de1202a2_18.jpg

基于LAG-3PD-L1 肿瘤表达水平的疗效评估


二、
迈杰医学:提供精准检测,助力创新药物研发
尽管抗LAG-3/PD-1 联合疗法已被确立为晚期黑色素瘤的标准治疗方法,但在其他几种癌症中仅显示出有限的抗肿瘤疗效。因此,研究 LAG-3 PD-1高表达的癌症(如鼻咽癌)中的 LAG-3/PD-1双重阻断具有重要的科学和临床意义。这是首个针对鼻咽癌患者进行 LAG-3 PD-1双重抑制的 Ib/II期临床试验。 LBL-007与特瑞普利单抗的联合治疗在晚期鼻咽癌患者中显示出令人鼓舞的抗肿瘤活性,尤其是在未接受过免疫治疗的患者中,且在 LAG-3高表达的患者中观察到肿瘤反应有明显改善


在精准医疗的时代浪潮中,迈杰医学始终秉持以患者为中心的理念,致力于为肿瘤患者提供更精准、更有效的诊疗方案。凭借强大的中心实验室服务、领先的CDx 开发能力以及创新的产品管线,迈杰医学已成为精准医疗领域的领航者。


一站式中心实验室服务,为临床试验保驾护航
迈杰医学的中心实验室服务涵盖了从样本管理到生物标志物检测的全流程,为临床试验提供强有力的支持。迈杰医学可以通过对患者肿瘤组织样本进行LAG-3 PD-L1表达水平的检测, 为研究团队提供关键的生物标志物分析数据。 帮助研究团队更好地理解 药物疗效与生物标志物表达之间的相关性,为患者的分层和治疗方案的优化提供科学依据, 助力临床试验顺利进行。


深耕CDx 开发,推动精准诊疗发展
迈杰医学深知伴随诊断(CDx )对于精准医疗的重要意义,始终致力于CDx产品的开发和创新。目前,迈杰医学正在积极推进LAG-3 CDx的开发,旨在为LAG-3靶向药物的临床应用提供精准的诊断工具, 帮助更多患者从精准治疗中获益。


创新产品获批上市,填补国内空白
迈杰医学自主研发的PD-L1(E1L3N) 检测试剂盒(免疫组织化学法) (商品名:迈谱康) 2022年获得国家药品监督管理局(NMPA )批准上市 ,为肿瘤患者的免疫治疗提供了重要的诊断依据。


此外,迈杰医学研发的PD-L1 JS311)抗体试剂(免疫组织化学法)(商品名:迈泽康) 通过国家优先审批通道获批上市(国械注准20243402135 ),成为 国内首款 用于三阴性乳腺癌适应症的PD-L1 药物伴随诊断试剂 该产品的获批 补了国内空白,满足了临床急需,将重新定义三阴性乳腺癌一线治疗的新标准,为患者提供新的治疗选择。

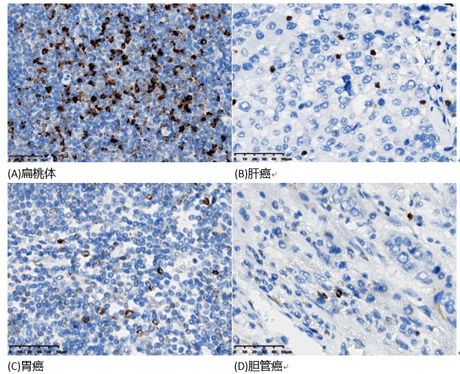
resource/images/6b71b9e56cc74221a6091bf1de1202a2_20.jpg

4 LAG-3 在组织中的IHC染色

三、
未来可期
LBL-007联合 PD-1单抗临床研究结果的发表,是肿瘤免疫治疗领域的一项重要突破,为晚期肿瘤患者开辟了全新的治疗前景。该研究成果不仅证实了联合用药方案的显著疗效,更为肿瘤免疫治疗的创新发展提供了重要依据,具有深远的临床意义。作为一家专注于肿瘤精准诊断和转化医学研究的高科技企业,迈杰医学拥有国际领先的检测平台和丰富的项目经验,也将继续秉承 精准检测,助力创新 的理念,与国内外药企和科研机构紧密合作,为肿瘤精准诊疗和药物研发贡献力量,造福更多患者!

参考文献

[1] Chen G, Sun DC, Ba Y, Zhang YX, Zhou T, Zhao YY, Zhao HY, Fang WF, Huang Y, Wang Z, Deng C, Hu DS, Wang W, Lin JG, Li GL, Luo SX, Fu ZC, Zhu HS, Wang HL, Cai SL, Kang XQ, Zhang L, Yang YP. Anti-LAG-3 antibody LBL-007 plus anti-PD-1 antibody toripalimab in advanced nasopharyngeal carcinoma and other solid tumors: an open-label, multicenter, phase Ib/II trial. J Hematol Oncol. 2025 Feb 7;18(1):15.

咨询热线

400-007-1121